시작하며;
지난 글에서 두개골을 정확히 인식하기 위한 방법으로 점선 패턴을 활용한 접근법을 소개했다. 그런데 다양한 이미지 데이터셋에서 테스트를 진행하며 예상치 못한 오차가 발생했다. 이 오차는 이미지의 해상도, 조명 조건, 두개골의 크기 및 기하학적 특성 등 여러 변수에 따라 꽤나 달라졌다. 따라서 오차를 줄이고 보다 안정적인 인식 시스템을 구축하기 위해 추가적인 삽질을 진행했다. 그 오차를 줄이기 위해 시행착오를 겪고 수정했던 내용을 글로 남기고자 한다.
두개골을 인식하는 과정을 짧게 설명하면 다음과 같다. 점선 패턴을 인식하는 과정에서 가장 큰 영향을 미쳤던 부분은 이미지의 품질과 노이즈였다. 의료 이미지의 특성상 저해상도나 아티팩트가 포함된 데이터가 다수 존재했으며, 이는 점선 패턴의 정확한 추출을 방해했다. 이를 해결하기 위해 이미지 전처리 단계를 강화했다. 예를 들어, Gaussian Blur 와 같은 필터링 기술을 활용하여 노이즈를 제거하고, 히스토그램 평활화로 이미지 대비를 조정하여 점선 패턴이 더욱 명확히 드러나도록 했다.
이 과정에서 시행착오도 많았다. 예를 들어, 필터를 과도하게 적용하면 점선 패턴 자체가 흐려지거나 손실되는 문제가 발생했다. 이를 해결하기 위해 다양한 필터 조합과 파라미터 튜닝을 반복적으로 수행했다.
무엇이 문제인가;
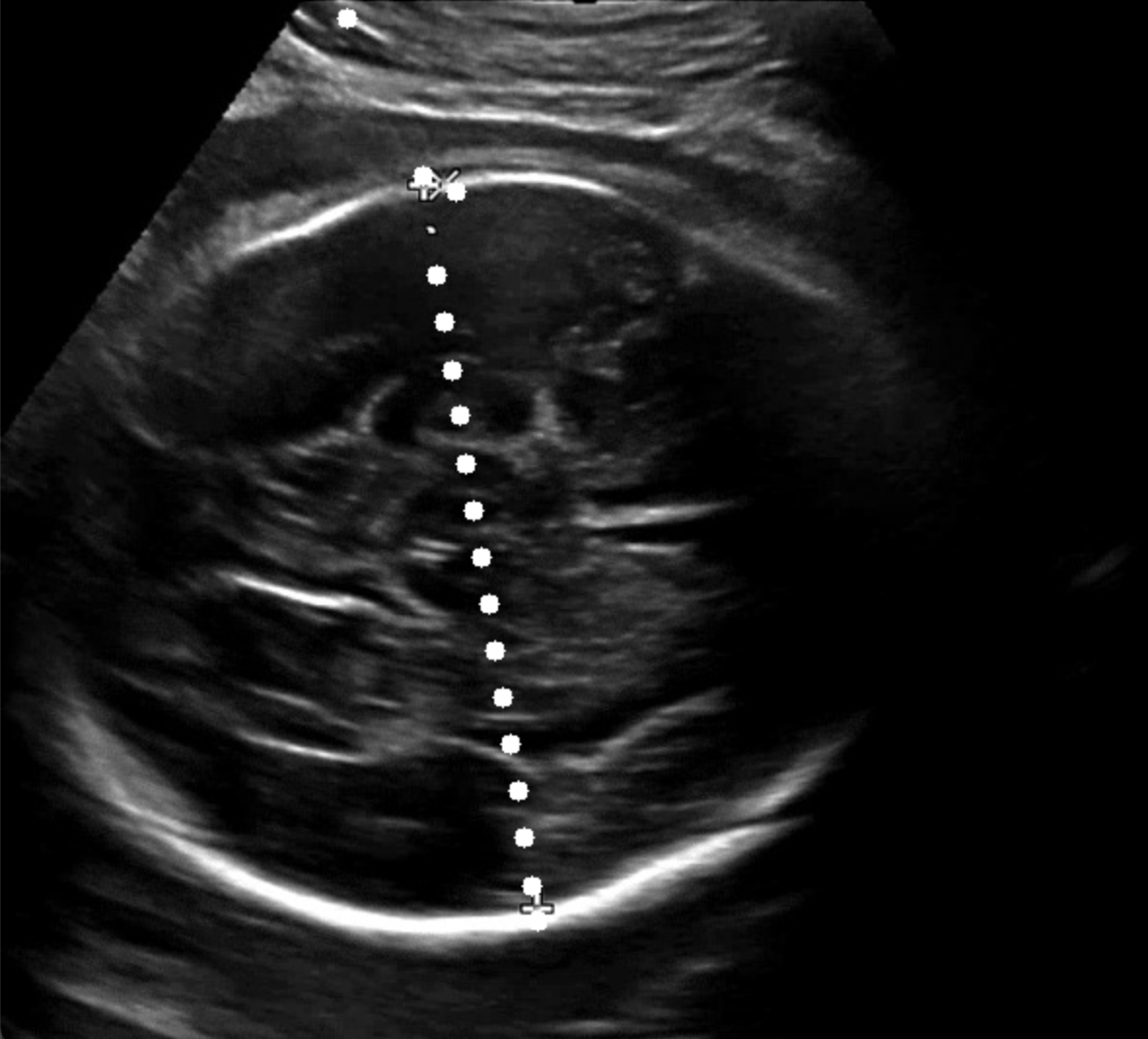
점선 패턴을 활용한 두개골 인식에서 대부분의 경우 안정적으로 좌표를 추출할 수 있었지만, 간혹 좌표값이 튀는 이상치 (outlier) 가 발생하는 사례를 확인했다. 이는 점선 패턴이 이미지의 특정 영역에서 명확히 인식되지 않거나, 노이즈로 인해 잘못된 좌표가 포함되는 경우였다. 아래 이미지와 같은 경우에서 좌표값이 연속되지 않고 불규칙하게 분포하거나, 특정 축(x 축 또는 y 축)을 기준으로 값이 급격히 변화하는 사례가 대표적이었다.
이를 해결하기 위해 처음 시도한 방법은 연속된 좌표의 기울기를 분석하여 같은 기울기를 가지지 않는 좌표를 이상치로 간주하고 필터링하는 방식이었다. 이 방법은 일정 부분 효과적이었지만, 초음파 이미지의 특성상 점선 패턴이 부분적으로만 인식되는 경우, 즉 점선 일부가 끊겨 있거나 불완전한 형태로 나타나는 경우에는 오히려 유효한 좌표까지 제거되는 부작용이 발생했다. 특히 점선이 희미하게 보이는 저품질 이미지에서는 이 문제가 두드러지게 나타났다.
이를 보완하기 위해 좌표 클러스터링 (clustering) 기법을 도입했다. 우선, x 축을 기준으로 tolerance (허용 오차) 내에 위치한 점들을 하나의 클러스터로 그룹화하고, 각 클러스터의 크기를 비교하여 가장 큰 클러스터를 선택했다. 이렇게 선택된 클러스터는 가장 신뢰도가 높은 점선 패턴을 나타낸다고 가정했다. 이후, 선택된 클러스터의 좌표를 y 축 기준으로 정렬하여 점선 패턴을 복원했다. 그러나 단순히 x 축 기준으로 클러스터링한 결과에서도 문제는 여전히 존재했다. x 축 좌표는 유사하지만 y 축 좌표가 급격히 튀는 사례가 빈번하게 나타났기 때문이다. 이를 해결하기 위해 y 축 기준으로 동일한 클러스터링 과정을 추가적으로 적용했다. 즉, x 축과 y 축 모두에 대해 클러스터링을 진행함으로써, 튀는 좌표를 효과적으로 제거하고 점선 패턴의 연속성을 더욱 강화할 수 있었다.


앞으로의 계획;
앞으로는 최적의 허용 오차를 찾기 위해 다양한 데이터셋에서 실험을 반복하며, 초음파 이미지의 특성을 반영한 동적 오차 값을 설정하는 방식을 도입하는 방법도 생각하고 있다. 클러스터링 기반의 필터링 방법을 더욱 고도화하고, 딥러닝 기반의 점선 패턴 복원 모델과 결합하여 보다 정교한 두개골 인식 시스템을 구축하고 싶다. 이러한 개선 과정을 통해 초음파 이미지를 활용한 진단 및 분석 정확도를 한층 더 향상시킬 수 있을 것으로 기대한다.
return;
'이미지 처리' 카테고리의 다른 글
| 초음파 영상 분류, BPD 만으로는 부족했다 (2) | 2025.02.22 |
|---|---|
| BPD 정확도 높이기, 편-안 🤭 (0) | 2024.12.27 |
| 초음파 스케일바 정확도 높이기, 편-안 ☺️ (0) | 2024.12.22 |
| 초음파 영상/이미지 內 관심사 인식 및 측정 (0) | 2024.12.14 |